Contenidos teoricos acerca de Análisis Radiográfico.
Todas las técnicas radiográficas ofrecen diferentes tipos de detalle y es por eso que se las utiliza como un medio diagnóstico excelente para discriminar alteraciones de tipo óseo (hueso) con las de tipo dental, normalmente las alteraciones en ortodoncia que provienen desde la base ósea o de hueso son mas complicadas de corregir que las de alteración puramente dental; es por eso que deben ser tratadas en edades de crecimiento.Muchas veces los padres de familia tienen la creencia que la ortodoncia solo se aplica a pacientes que ya tienen todas las piezas dentarias permanentes presentes en la boca, pero no es asi, muchas de las alteraciones cuando son debidamente diagnosticadas y a tiempo pueden prevenir muchos tipos de alteraciones mas graves en edades donde el crecimiento del complejo maxilar ha terminado.
Entre las principales incógnitas con los pacientes estan: La utilización de aparatología Ortodoncica en edades de crecimiento, y es que actualmente tenemos aparatos que pueden ser utilizados desde los 3 años. Siempre basados en la premisa de que cualquier tipo de alteración maxilar que sea diagnosticada en edades tempranas pueden ser tratadas ya sean por elementos removibles o fijos.
Ciertas alteraciones que no son corregidas a tiempo, derivarán en las llamadas extracciones cuando el paciente ya ronda los 14 o mas años, y muchas veces por armonia facial se tienen que extraer cuatro piezas dentarias ya sean dos del maxilar superior y dos del maxilar inferior.
Algunas alteraciones también pueden ser realmente complicadas y ser tratadas con la ayuda del cirujano maxilofacial, (por ejemplo cuando un cuerpo mandibular es demasiado largo, o tal vez demasiado corto).
Es por eso que todos los análisis en ortodoncia deben ser diagnosticados por radiografías (en especial en edad en crecimiento 5 a 10 años, lo mas complicados desde los 3 años). Entre las radiografías que mas se utilizan estaran:
- Radiografía Lateral de Cráneo
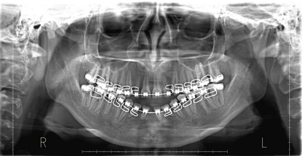
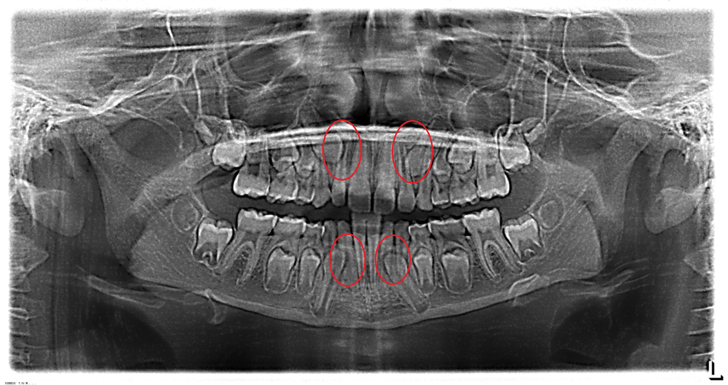
- Radiografía Panorámica
- Radiografías periapicales o serie apical.

Imagenes de distintos Análisis Radiográficos.


